Contacte con nosotros

Tel: 933 054 542

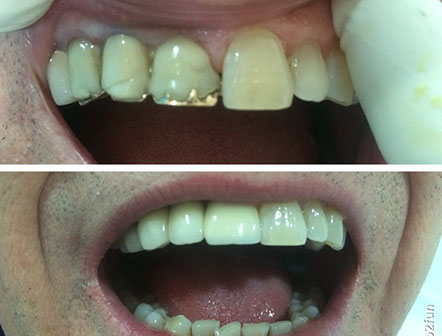
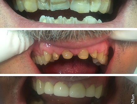
ANTES Y DESPUÉS

El blanqueamiento dental se puede realizar en consultorio o en el hogar, aunque no es posible comprar los mismos tratamientos (sobre todo en cuanto a concentraciones de los principios activos) para uso personal y algunos especialistas alertan sobre el posible daño a las piezas dentales si se utilizan éstos en alta concentración sin la prescripción ni el seguimiento de un odontólogo especialista.

FUNDAS PORCELANA

PRÓTESIS SOBRE IMPLANTES FIJA

PRÓTESIS SOBRE IMPLANTES REMOVIBLE

SUPERIOR E INFERIOR

RECONSTRUCCIONES ESTÉTICAS